HOMEプロフィール走行会メンテ/DIYムービー掲示板ブログ写真集リンク

« 2025年10月 | Main | 2026年04月 »

2026年03月15日
 ◆ エンジンO/H完了!
カテゴリー:心臓手術

ご無沙汰し取ります~

タイトルは春道号ではなく~
運ちゃんのエンジン(心臓w)をO/H(手術)してきました( ̄(工) ̄)
心臓弁膜症(僧帽弁狭窄兼閉鎖不全症)の弁形成手術。

数年前に心雑音が確認されとりましたが、昨年夏に逆流が5割を越える重度の診断となり手術となった次第。
胸の痛み等の自覚症状はなく、疲れやすく息切れしやすいなどは感じてましたが他の持病(潰瘍性大腸炎)の関連かなと思ってました。
重度と診断されたのが去年9月。
手術まで時間が経ってしまったのは、昨年秋に頸椎を痛め仰向けになれない状態が二ヶ月ほど続き手術も三ヶ月ずれ込むことになりました。
年末までは感じなかった怠さが今年に入って結構辛く、自分で見ても顔がめっきりやつれてヤバそうでした(^^;

首の痛みが取れた1月中旬より各種検査を実施。
自分の場合僧帽弁に複雑な損傷が二箇所有り自己弁形成が難しい状況だったようですが、胸を縦に大きく開く「胸骨正中切開」が選択され、手術は2/25(水)に決定。

手術時間は7時間を経て、自己弁形成術は成功。
翌朝ICUから一般病棟に移りリハビリに励み、術後8日目の3/5(木)に退院してきました。

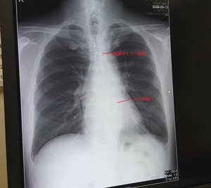
退院後初回(3/13(金))外来でのレントゲン写真

ガッチリ胸骨と緊結されてるけど咳き込んだり捻ると激痛w
退院後 即職場復帰(デスクワーク)してるけどまだまだ完全復帰は遠いなぁ~
今一番怖いのが「花粉」
くしゃみ大敵!

以下自分用術後メモ
・血圧・・・・・・低めになった100以下(時に80台も頻発)脈80~90
・頸椎症再発・・・首の痛みは術後3日で取れたが左手中指薬指小指の痺れまだ治まらず
・めまい・・・・・術前になかった大きく揺れるめまい(術後2、3回発症)
・閃輝暗点頻発・・毎日何度も発症⇒10分ほどでギザギザは消える⇒ほぼ頭痛は起こらない
・薬・・・・・・・ワーファリン3.5mg(三ヶ月間服用予定)
・・・・・・・・・アスピリン腸溶錠100mg×1錠
・・・・・・・・・ラベプラゾールNa錠10mg×1錠
・・・・・・・・・ビソプロロールフマル酸塩錠0.625mg×2錠
・・・・・・・・・(潰瘍性大腸炎:アサコール錠400mg×6錠)
投稿時間 : 15:07 個別ページ表示 | コメント (12) | トラックバック (0)

Copyright(C) 2006-2026 harumichi All rights reserved